Referência em Implantes Dentários na Grande Florianópolis

Recupere as funções e naturalidade de um ou mais dentes perdidos!
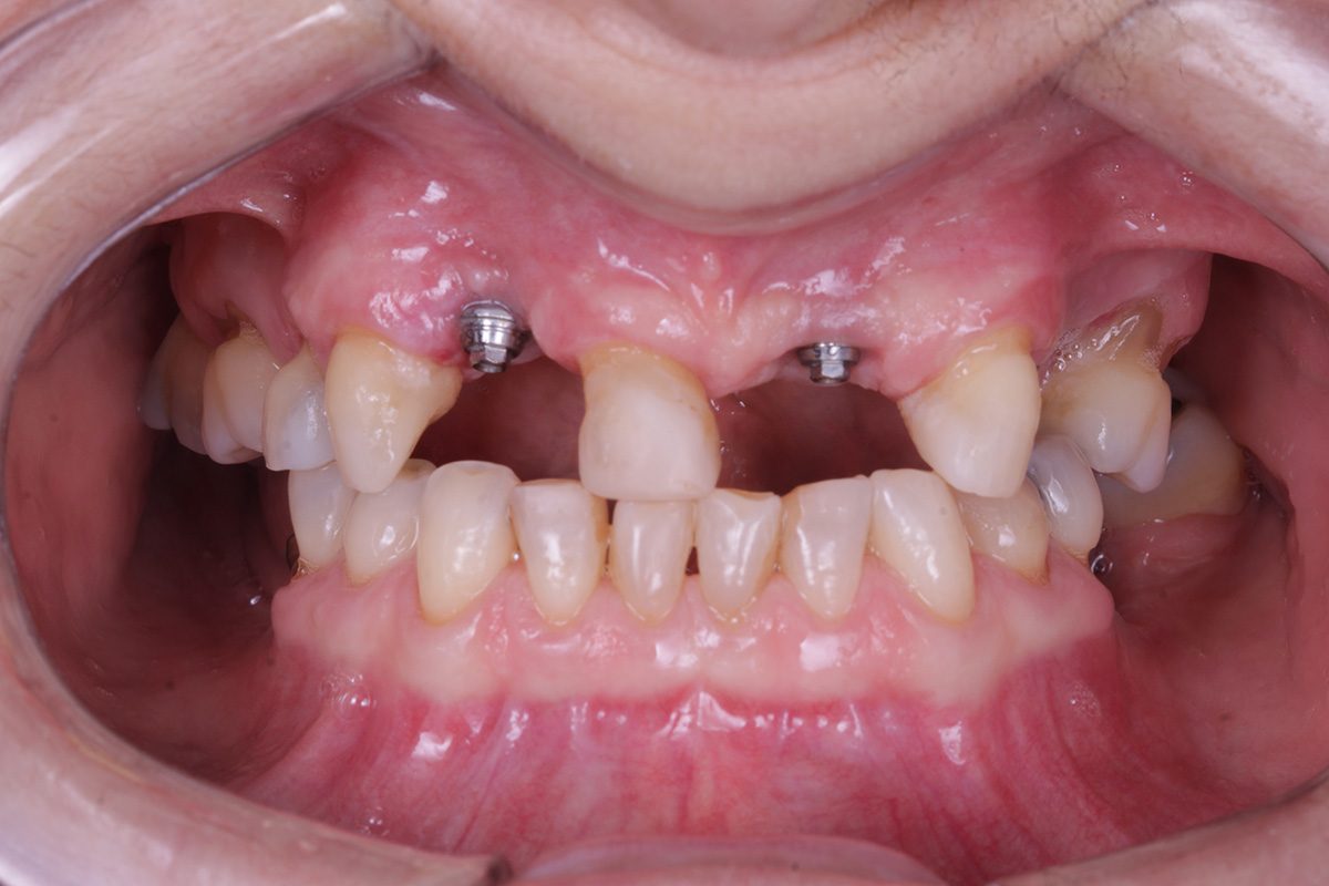
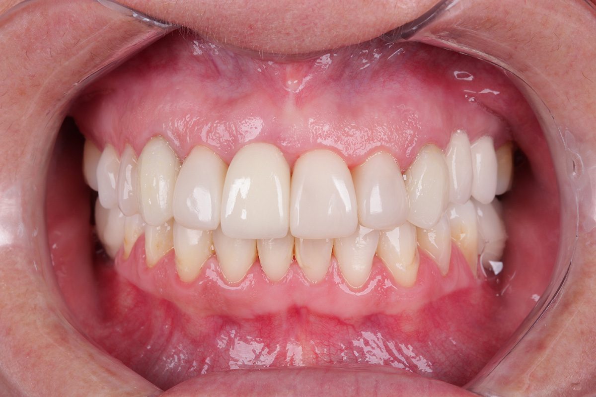
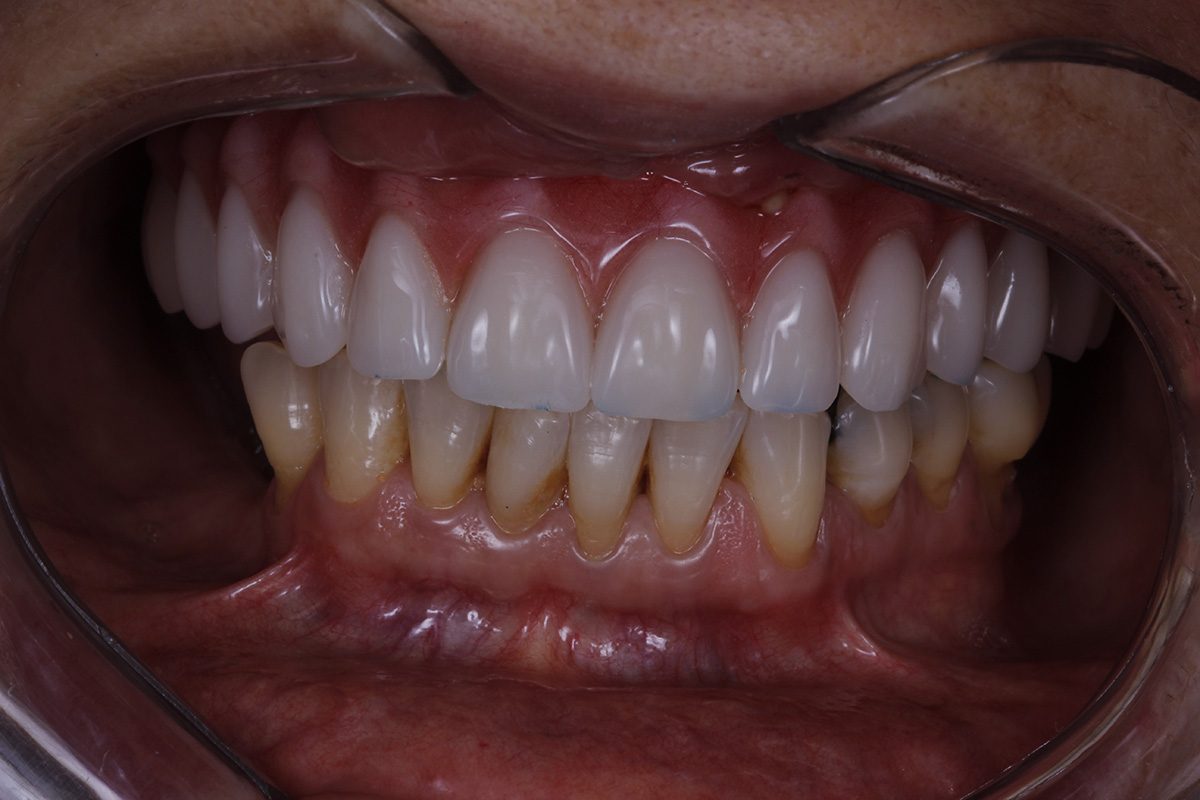
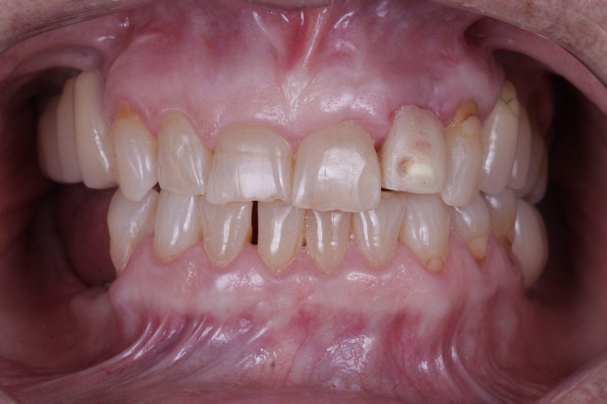
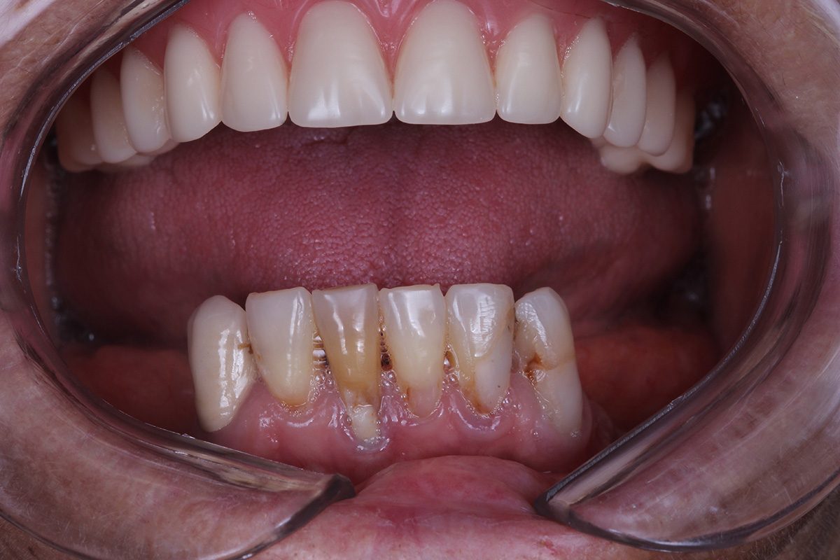
Transforme seu sorriso com implante zigomático e cirurgia guiada. Essa técnica avançada utiliza tecnologia 3D para planejar e posicionar implantes de forma precisa em pacientes com perda óssea severa, garantindo uma reabilitação oral eficaz e resultados estéticos superiores.

Venha fazer uma avaliação com o Dr. Marco

Clínica Amarante

Fundada em 2006 a época chamando-se Odontologia Amarante, pelo Cirurgião Dentista Dr. Marco Eduardo do Amarante que após se formar em Odontologia em 2005 pela Unisul Tubarão, ao retornar a Florianópolis, escolheu um imóvel situado no Bairro Campeche ao Sul da ilha de Florianópolis, para estruturar seu consultório odontológico. Em decorrência do reflexo da qualidade dos atendimentos, e a proposta de uma odontologia especializada em Implantes Dentários e Estética Dental, houve a expansão passando a atuar como uma Clínica Odontológica de forma multidisciplinar, agregando várias especialidades da Odontologia. Uma Clínica projetada para que o Sul da Ilha tenha acesso à Odontologia de Excelência em um ambiente acolhedor.

Nesses quase 16 anos de existência da Clínica Amarante já cuidamos de cerca de mais de 10mil sorrisos, tornamo-nos uma Clínica Odontológica de referência em atendimento de Reabilitação Oral e resolução de problemas de alta complexidade nos mais diversos casos.

Nossos clientes se tratam na Clínica Amarante, porque se identificam com nosso propósito, acreditam nos mesmos valores que a gente acredita e juntos construímos uma história, desde 2006.

Estamos situados no Bairro Campeche, ao Sul da Ilha de Florianópolis, nos tornamos referência como a Primeira Clínica Odontológica Multidisciplinar no Bairro, em decorrência de sempre acreditar em trazer ao bairro uma Odontologia de Excelência, por esse motivo nossa clientela foi se expandindo, nossos clientes satisfeitos com os resultados nos indicavam a amigos, familiares e passamos a atender clientes de fora do Estado e também de outros países.

Implante Dentário na Clínica Amarante

Cirurgia Guiada

A cirurgia guiada usa tecnologia 3D para planejar e executar implantes com precisão, melhorando resultados estéticos e funcionais em reabilitações orais.

Implante Zigomático

O implante zigomático utiliza o osso zigomático para ancorar implantes dentários em pacientes com severa perda óssea na maxila, garantindo estabilidade.

Referência em Odontologia

Em quase 16 anos, a Clínica Amarante cuidou de mais de 10 mil sorrisos, tornando-se referência em Reabilitação Oral e resolução de problemas de alta complexidade nos mais diversos casos.

Dentista Especialista

Contamos com um dentista especialista em cirurgia guiada e implante zigomático, garantindo precisão e sucesso em reabilitações orais complexas.

Equipe Multidisciplinar

Contamos com uma equipe qualificada em diversas especialidades para proporcionar implantes dentários de qualidade, promovendo uma saúde bucal integral.

Inovação e Tecnologia

Destacamo-nos pela inovação, empregando equipamentos de última geração para diagnósticos precisos e tratamentos odontológicos de excelência, visando sua saúde bucal.

Pronto para Transformar o seu Sorriso?

Na Clínica Amarante, oferecemos os melhores tratamentos de implantes dentários com cirurgia guiada: minimamente invasiva, altamente precisa e previsível, proporcionando resultados excepcionais e uma experiência superior para nossos pacientes.

Implantes Dentários com Cirurgia Guiada: Precisão e Conforto na Revolução Odontológica!

Aprimoramos a experiência odontológica com a Cirurgia Guiada: menos invasiva, recuperação rápida e precisão garantida. Na nossa clínica, destacamo-nos em implantes dentários guiados, priorizando seu conforto.

Descubra o conforto da Cirurgia Guiada, uma abordagem menos invasiva e mais precisa. Na nossa clínica, especializamo-nos em implantes dentários com essa técnica, assegurando sua tranquilidade em todo o processo.

Recupere as funções e naturalidade de um ou mais dentes perdidos!

Recupere seu sorriso perfeito na Clínica Amarante com Implantes Dentários de Alta Qualidade

Inovação

A melhor forma de substituir dentes perdidos, unitários, parciais ou totais, através de técnicas modernas e com menor morbidade.

Técnica Inovadora

A Cirurgia Guiada, os Implantes Zigomáticos também reduzem a necessidade de enxerto ósseo e facilitam o tratamento.

Cirurgia Guiada

Descubra como nossa abordagem inovadora torna os implantes dentários totalmente seguros e mais precisos do que nunca!

Vantagens da Cirurgia Guiada

Menos dor e desconforto durante e após o procedimento
Com a cirurgia guiada, o dentista tem acesso a informações precisas sobre a anatomia da boca do paciente, o que permite uma cirurgia mais precisa e menos invasiva.
Tempo de recuperação mais curto

Devido à precisão da cirurgia guiada, a recuperação é mais rápida e suave para o paciente.

A cirurgia é menos invasiva, o que resulta em uma cicatrização mais rápida e menos dor.

Resultados mais precisos e previsíveis

A cirurgia guiada permite ao dentista ter uma compreensão mais clara da anatomia da boca do paciente e planificar o procedimento de maneira mais correta.

Isso resulta em resultados mais precisos e previsíveis, além de um ajuste mais confortável e duradouro.

Diminuição de retoques futuros

Conforme o estudo que citamos anteriormente: “O guia cirúrgico é um diferencial para que se consiga um perfeito planejamento reverso, ou seja, dinâmica e estética agradáveis”.

Basicamente, com a cirurgia guiada, é possível obter resultados mais precisos e duradouros, o que significa que é menos provável que sejam necessários retoques futuros.

Maior eficiência e rapidez na realização da cirurgia

Como o dentista terá uma visualização clara e precisa da anatomia da boca do paciente, a realização da cirurgia será mais eficiente e com mais rapidez.

Implante Zigomático

O que faz do processo de implante zigomático uma técnica inovadora, é o fato de não precisar de enxerte ósseo.

Solução para Perda Óssea Extrema

Pacientes com atrofia severa do osso maxilar, que não são candidatos ideais para implantes tradicionais, podem se beneficiar dos implantes zigomáticos. Esses implantes são fixados no osso zigomático (osso da bochecha), que é mais denso e volumoso.

Evita a Necessidade de Enxertos Ósseos

Em muitos casos, os implantes zigomáticos eliminam a necessidade de procedimentos de enxerto ósseo, como levantamento de seio maxilar ou enxerto de crista, que podem ser invasivos e requerem longos períodos de recuperação.

Procedimento Relativamente Rápido

O tempo total de tratamento pode ser reduzido, pois os implantes zigomáticos podem ser colocados em uma única cirurgia, muitas vezes permitindo a instalação imediata de próteses provisórias, o que significa que os pacientes podem sair do consultório com dentes funcionais.

Alta Taxa de Sucesso

Estudos têm mostrado que os implantes zigomáticos têm uma alta taxa de sucesso, comparável à dos implantes dentários convencionais, proporcionando uma solução estável e duradoura para a reabilitação oral.

Melhoria na Qualidade de Vida

Pacientes que optam por implantes zigomáticos geralmente relatam uma melhora significativa na capacidade de mastigar, falar e na confiança estética, melhorando assim a qualidade de vida.

Redução do Tempo de Tratamento

Como os implantes zigomáticos podem frequentemente ser carregados imediatamente com uma prótese, o tempo total de reabilitação oral é reduzido, proporcionando ao paciente uma função oral mais rápida em comparação com métodos tradicionais que podem exigir vários meses de espera.

-20%

World Leader in Vaccination for Life!

Mauris ut hendrerit diam. Sed eget blandit purus. Quisque dignissim non nisl aliquam faucibus

Get Discount Coupon Here
Infectious Disease Physician

Proin lacinia, est lobortis iaculis pulvinar, sapien erat rhoncus nisi, sed elementum risus urna non quam. Sed eu erat vulputate, euismod sem a, tristique sapien. Aliquam sagittis iaculis diam, vitae hendrerit lorem vulputate eleifend

Sign up to On-line Consultation:

Pellentesque non dignissim metus. Fusce vitae ex turpis. Pellentesque auctor vulputate

Morbi gravida volutpat tempor. Duis velit ex, dapibus id arcu vitae, tincidunt suscipit lorem. Phasellus consectetur a metus at vehicula. Suspendisse dictum